Lehen behatzaren Valgus deformazioa adin helduko emakumeei eragiten die gehienetan, baina gizonezkoei ere eragiten die. Erpuruaren oinarri deformatuak ez du estetikoki atsegina. Kasu honetan, pertsonak ondoeza fisikoa sentitzen du, eta fase aurreratuan - mina. Behatz lodiaren desbideratzea oinaren gorputz-karga irregularren ondorioa da. Aldaketek eragin kaltegarria dute oinetan eta beste hatzetan.
Kurbaduraren kausak

Hallux valgus ez da ageriko arrazoirik gabe gertatzen. Patologia hau hainbat arrazoiren eraginpean agertzen eta garatzen da. Hallux valgus-ek gaixotasun honetarako genetikoki joera duten pertsonei eragiten die gehienetan. Medikuek behatz 1 deformazioaren arrazoi hauek ohartzen dituzte:
- Gorputzaren gehiegizko pisua.
- Gaixotasun endokrinoak.
- Osteoporosia.
- Oin lauak.
- Diabetes mellitus.
- Psoriasia.
- Artritisa.
- Haurdunaldian eta zahartzaroan aldaketa hormonalak.
- Zapata estuak jantzita.
- Lanbidearen berezitasuna, pertsona bat egunero bere hanketan jarduera fisiko handiagoa jasatera behartuz.
Etapak eta barietateak
Medikuek gaixotasunaren progresioaren 3 fase hartzen dituzte kontuan:
- Valgus desbideratze sotila. Larruazaleko gorritasuna agertzen da, baita urradura txikiak ere. Ondoeza ibiltzean.
- Hazkunde bat dagoeneko argi ikusten da erpuruan. Hantura eta mina ikusten dira.
- Gaixotasunaren forma hau aurreratutzat jotzen da. Pertsona bat behatz lodiaren eta oin osoaren etengabeko mina jasangaitza eta keratinizatua azala agertzea kezkatzen du. Mina ez da desagertzen lotan ere.
Desatsegina hallux valgus garapena faktore askok eragiten dute. Adituek hatz deformazio mota hauek kategoria bereizi gisa identifikatu dituzte:
- Zeharkatze deformazioa. Kurbadura norabide ezberdinetan gertatzen da. Hatzak elkar gurutzatu.
- Artikulazioen kurbadura, beti tolestuta dauden neurrian. Patologiaren lehen fasean, behatzak eskuen laguntzaz zuzentzera behartu daitezke. Momentu honetan tratamendua hasten ez bada, behatzak hain zurrun geratuko dira, non gehiago ezin izango dituzu eskuekin zuzendu. Orain ezinezkoa da kirurgiarik gabe egin.
- Taylorren deformazioa. Hatz txikiei eragiten dien patologia. Hezurretan hazkuntza bat agertzeagatik ezaugarritzen da.
- Falangen kurbadura, kakoen antza.

Adituek hallux valgus garatzeko arriskua duten dantzariak daude. Behatzak dantzatzeak estres handiagoa eragiten du behatzetan, eta horrek makurdura eragiten du. Ibilbide okerrak emaitza desiragarriak ere sor ditzake. Faktore erakargarriak adinaren arabera areagotu egiten dira.
Diagnostiko-metodoak
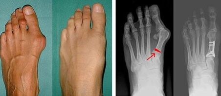
Ikusmen-azterketak eta X izpiek emaitzarik ematen ez badute, pazientea plantografiara bideratzen da, oin lauak posibleak zehazteko. Metodo honek oinen estanpatuak hartzen ditu, eta horren arabera egiten zaizkio pazienteari propietate ortopedikoak dituzten oinetakoak edo barne-zolak. Ondoren, pazienteari podometria agintzen zaio. Metodo honek ordenagailuaren analisia erabiltzen du pertsona batek oinetan duen pisuaren presioa zehazteko. Diagnostiko aurreratuen emaitzak lehen eta bigarren behatzaren makurdurarako tratamendu metodo bat aukeratzeko oinarria dira.
X izpien azterketaren desabantaila gaixoaren hankak irradiatu beharra da, paziente askori gustatzen ez zaiona. Metodo hau kaltegarriegia dela uste dute. Zentzu honetan, ezin da hallux valgus tratamendu eraginkorra hasi plantografiaren emaitzarik gabe.

Hau da informazio-diagnostiko metodorik onena. Bere laguntzarekin, medikuak oin lauen presentzia ez ezik, oinetako arkuen egoera ere zehazten du. Ordenagailu bidezko azterketa da oin lauak detektatzeko modurik eraginkorrena.
Behatz lodiaren eta behatz txikiaren valgus identifikatzearen lehen fasean, medikuak ikusmen-azterketa bat egiten du. Modu honetan, patologiaren garapen-etapa zehazten du. Artikulazioetan aldaketa zehatzak identifikatzeko, X izpiak eta plantografia agintzen dira.
Droga terapia
Hobe da oinaren tratamendu leuna hastea, baita behatz lodia ere, patologiaren azken fasea gertatu baino lehen. Adituek badakite patologia hau nola tratatu, baina ez dakite gaixotasunaren forma aurreratua nola sendatu esku kirurgikorik gabe. Lehenik eta behin, medikuek hatzen kurbaduraren kausa zehazten dute, baita faktore konplikatuen presentzia ere. Jakina denez, droga-terapiaren zereginak terapia sintomatikoa barne hartzen du. Horrek esan nahi du mina, hantura eta hantura ezabatzen direla.
Gehienetan, pazienteei antiinflamatorio ez-steroidalak agintzen zaizkie. Funtzio nagusiaz gain, mina eta sukarra murrizten dituzte. Konplikazioak gertatzen direnean, kortikoide hormonalak preskribatu ohi dira. Behatzen deformazioa barne-organoen gaixotasunek eragiten badute, artikulazioak zuzendu daitezke azpiko patologia sendatu ondoren. Kasu honetan, endokrinologoek arazoan parte hartzen dute oso espezializatutako beste espezialista batzuekin batera. Jende askok bere burua sendatzen saiatzen da herri-erremedioak erabiliz, patologiaren garapenaren hasierako fasean soilik posible dela ahaztuta.
Hasierako fasean patologia antzematen bada, erpuru okertua zuzentzen da gailuen laguntzarekin - propietate ortopedikoak dituzten plastikozko edo silikonazko konpresak. Tratamenduan zehar oinetako leun eta zabalak eraman behar dituzu. Hatz okertuak zuzentzeko, plantilla ortopedikoak, arku euskarriak eta bestelako zuzentzaileak erabiltzen dira. Deformatutako hatzak ferula, eraztun, txapel eta orrazi bereziekin finkatzen dira. Horrelako gailuen laguntzaz, hatzak posizio egokian bermatzen dira. Finkatzaile ortopedikoei esker, hatzen deformazio gehiagoren garapena gelditzen da.
Hallux valgus tratatzeko bi modu daude. Lehenengoa deformazioaren minik gabeko zuzenketa da, esku-hartze kirurgikoa eta errehabilitazioa behar ez duena, bigarrena kirurgia bidezko tratamendua.
Tratamendu-metodo kirurgikoak

Hallux valgus erabat sendatzea posible da zirujau baten bisturiaren laguntzarekin. Batzuetan ebakuntza bakarra nahikoa da eta pazientea betiko arazoaz ahazten da. Medikuak egiten du kirurgia esku-hartzea kontuan hartuz mota hallux valgus deformazioa. Eragiketa mota ohikoenak hauek dira:
- Exostektomia. Metatarsal-hezurraren zati jakin bat bakarrik kentzen da.
- Errezekzio-artroplastia. Metatarso-hezurraren amaierako zatia kentzen da.
- Osteotomia. Metatarso-hezurra kentzeko erabiltzen da, baita falangearen elementu txiki bat ere.
- Erresekzioa. Eragiketa kaltetutako ehun bigunak kentzea du helburu, eta, ondoren, ehun osasuntsuak haien lekuan transplantatzea.
- Artrodesia. Artikulazioen immobilismo behartua ematen du.
- Osteotomia distala. Eragiketak artikulazioen arteko angelua murriztea dakar.
- Behatz lodiko bursa hanturatua kentzea.
- Inplanteen instalazioa.
Ebakuntzaren ondorengo errehabilitazio epeak zazpi aste iraun dezake. Aste gutxi hauetan prebentzio neurri bereziak hartu ohi dira. Lehenik eta behin, hauek sustatzen dituzten ariketa terapeutikoak dira:
- osasun egoera hobetzea;
- ibiltzean mina murriztea;
- hanken muskuluen tonua areagotzea;
- deformatutako juntadura bere posizio naturalean instalatzea eta finkatzea.
Errehabilitazio-aldiaren iraupena gehienetan eragiketa konplexuaren araberakoa da. Berreskuratzea bizkortzeko, hurrengo egunean hatzak mugitzen hasi beharko zenuke. Astebete igaro ondoren, gaixoa dagoeneko altxatu daiteke eta, neurriak hartuta, poliki-poliki mugi daiteke. Gauza nagusia estresa luzea saihestea da.
Eragiketaren ondoren, kalitate handiko oinetako leun eta zabalak beharko dituzu. Medikuaren gomendioarekin erosten da. Bide batez, ariketa terapeutikoak egiten hasten bazara hallux valgus-aren garapenaren hasieran, ez bakarrik egin dezakezu interbentzio kirurgikorik gabe, baizik eta dirua alferrik galdu gabe hainbat gailu, ukendu eta botikatan.
Adituek diote tratamendu kirurgikoaren aukerak ia ehuneko ehuneko emaitza positiboak ematen dituela. Tratamendu-metodo leun honek ez du anestesiarik behar eta ez du estres edo estutasun psikologikorik eragiten. Hala ere, minik gabeko tratamendu metodoek ezin dute pertsona bat gaixotasunaren azken fasetik salbatzeko.
Prebentzio neurriak

Prebentzio neurriak nahiko sinpleak dira: behatz zabaleko oinetako erosoak eramatea, zeinaren barneak ez baitu behatzak presio egiten. Artikulazioek bereziki eta oinak oro har giza hazkuntzan pilatutako pisuari kalterik eragin gabe jasateko gai dira. Horregatik, oso garrantzitsua da zure gorputzaren pisua kontrolatzea gizentasuna saihesteko.
Prebentzio ariketa eraginkorretako bat honako hau da: pertsona batek, aulki batean eserita, oinak lurrean dituela, hatzak erabiliz mugitzen ditu.
Hurrengo ariketa lurrean oinutsik ibiltzea dakar, txandaka behatzekin eta orpoekin.
Gimnasia sinplea azkar menderatzen da, eta horrek ariketa fisiko konplexuagoak sortzen ditu. Ondoren, ekintzak egin ditzakezu, esate baterako, arkatza edo lurretik beste edozein objektu jasotzea.
Hobe da erpuruaren deformazioa saihestea mediku-erakundeetan ilaran egotea baino, tratamendu eraginkorra aukeratzeko medikuen gomendioak jasotzeko.

























